नवी दिल्ली 18 सप्टेंबर : किशोरवयीन (Teenage) अवस्था अत्यंत नाजूक मानली जाते. या दरम्यान, मुलगा किंवा मुलगी दोघांच्या मानसिक आणि शारीरिक स्थितीत बदल (Mental And Physical Changes) होतो. यादरम्यान अनेकवेळा मुलं असं काही करतात ज्याचे परिणाम भयंकर होतात. अलीकडेच, एक पालक त्यांच्या 15 वर्षांच्या मुलासह लंडनच्या एका रुग्णालयात दाखल झाले. या मुलाला त्याच्या प्रायव्हेट पार्टची लांबी मोजायची (Teenager Measuring Penis Length) होती. त्याच्या याच इच्छेनं त्याला थेट रुग्णालयात पोहोचवलं.
पतीपासून बचावासाठी खिडकीतून उडी घेताना दिसली गरोदर महिला; व्हायरल होतोय Photo
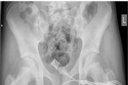
पंधरा वर्षाच्या या मुलानं आपल्या प्रायव्हेट पार्टमध्ये USB केबल टाकली होती. डॉक्टरांनी सर्जरी करून ही केबल बाहेर काढली. ही तार आतमध्ये अडकली होती. तारेला अनेक गाठी होत्या. या घटनेतील मुलाची ओळख लपवली गेली आहे. मात्र, डॉक्टरांनी सांगितलं, की हा मुलगा आपल्या प्रायव्हेट पार्टची लांबी मोजण्याचा प्रयत्न करत होता. मात्र, त्याचा हा प्रयोग अपयशी ठरला आणि तार आतमध्येच अडकली. या प्रकरणी मिळालेल्या माहितीनुसार, मुलानं स्वतःच ही तार काढण्याचा भरपूर प्रयत्न केला. मात्र, या दरम्यान त्याच्या प्रायव्हेट पार्टमधून भरपूर रक्तस्त्राव होऊ लागला. जेव्हा परिस्थिती जास्तच बिघडली तेव्हा त्यानं आपल्या कुटुंबीयांना याबाबत माहिती दिली. यानंतर तात्काळ त्याला रुग्णालयात दाखल करण्यात आलं.सुरुवातीला रुग्णालयातील स्टाफनं ही तार खेचून बाहेर काढण्याचा प्रयत्न केला. मात्र त्यात गाठ असल्यानं ती बाहेर आली नाही. अखेर सर्जरी हाच पर्याय उरला.
मृत व्यक्तीच्या शरीराचा हा भाग तोडून घेतात कुटुंबीय; उद्देश जाणून व्हाल थक्क
लंडनच्या युनिव्हर्सिटी कॉलेज रुग्णालयात (London University College Hospital) या मुलाची सर्जरी केली गेली. यादरम्यान मुलानं आपल्या आई-वडिलांसमोर डॉक्टरांना सांगितलं, की तो आपल्या प्रायव्हेट पार्टची साईज मोजत होता. याच दरम्यान तार आतमध्ये अडकली. सर्जरीदरम्यान ही केबल आतमध्येच कापली गेली आणि नंतर बाहेर काढण्यात आली. डॉक्टरांनी सांगितलं, की अशी अनेक प्रकरणं समोर येतात ज्यात मुलं उत्सुकतेच्या भरात अशा गोष्टी करतात. पालकांनी आपल्या मुलांवर नजर ठेवणं गरजेचं आहे, जेणेकरून पुढे अडचणी येणार नाहीत, असा सल्ला डॉक्टरांनी दिला.
मराठी बातम्या, ब्रेकिंग न्यूज मराठीत सर्वात आधी News18 लोकमतवर. आजच्या ताज्या बातम्या, लाइव्ह न्यूज अपडेट, सर्वात आधी वाचा विश्वासार्ह मराठी न्यूज वेबसाइट News18 लोकमतवर.

)







