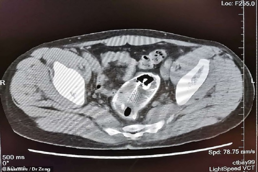
बीजिंग, 10 जून : चीन (China) मध्ये एक धक्कादायक प्रकरण समोर आलं आहे. चीनच्या ग्वांगडोंग प्रांतातील, एक व्यक्ती पोटात दुखण्याच्या तक्रारीवरून रुग्णालयात गेला. त्यानंतर डॉक्टरांनी त्याची तपासणी केल्यानंतर डॉक्टरांना विश्वास बसला नाही. जेव्हा डॉक्टरांनी तपासणी केली तेव्हा त्यांना कळलं की, या व्यक्तीच्या गुदाशयात एक 16 इंच लांब मासा आहे. जेव्हा डॉक्टरांनी त्याला याबद्दल विचारले तेव्हा त्यानं उत्तर दिले की कदाचित चुकून या माशावर बसला असावा. डेली मेलच्या वृत्तानुसार 30 वर्षाच्या माणसाच्या रेक्टममध्ये 16 इंच लांब मासा बाहेर काढला. हा मासा आत कसा गेला हे अद्याप कोणालाच माहिती नाही आहे. डॉक्टरही या प्रकारामुळं चकित झाले आहेत. त्यांच्या म्हणण्यानुसार, एखादी व्यक्ती कपड्यांशिवाय माशावर जरी बसली तरी, माशांना शरीरात कसे जायचे हे कळणार नाही. चीनच्या सोशल मीडियावरही हे प्रकरण बरेच व्हायरल होत आहे. या व्यक्तीच्या गुदाशयातून झाओकिंग पीपल्स हॉस्पिटलमध्ये हा मासा बाहेर काढला गेला होता आणि रुग्णालयानेही संपूर्ण घटनेचा व्हिडीओही तयार केला आहे. वाचा- सगळ्यात चांगली बातमी! 2020मध्ये ‘या’ 8 संकटातून थोडक्यात वाचली पृथ्वी
वाचा- चीनचा खोटारडेपणा आला समोर, कोरोना संसर्गाबाबत सगळ्यात मोठा रिसर्चनं केली पोलखोल एक्स-रेमध्ये दिसला मासा हा माणूस पोटदुखीची तक्रार घेऊन रुग्णालयात आला तेव्हा डॉक्टरांनी त्याला एक्स-रे काढण्याचा सल्ला दिला. त्यावेळी डॉक्टरांना रेक्टममध्ये काही तरी असल्याचा संशय आला. मात्र X-ray रिपोर्ट पाहून डॉक्टरांची झोप उडाली. या व्यक्तीची चौकशी करूनही त्यानं डॉक्टरांना काही माहिती दिली नाही. नंतर त्यानं कबूल केले की तो चुकून माशावर बसला आहे, म्हणूनच कदाचित तो त्याच्या गुदाशयात गेला आहे. त्यानंतर या व्यक्तीनं स्वत: मासा बाहेर काढण्याचा प्रयत्न केला होता, परंतु तसे होऊ शकले नाही. मग केलं ऑपरेशन हा मासा काढण्यासाठी डॉक्टरांना शस्त्रक्रिया करावी लागली. डॉक्टरांनी सांगितले की ही मासे गुदाशयात गेला होती, बरेच दिवस गेले होते आणि पुरेसा मोठा झाल्यामुळे ऑपरेशन केल्याशिवाय पर्याय नव्हता. डॉक्टरांनी सांगितले की मासे सडण्यास सुरवात झाली आहे, ज्यामुळे मलाशय आणि पोटात विष पसरू शकलं असतं. याआधी चीनमधील 68 वर्षांच्या व्यक्तीच्या गुदाशयातून 10 इंच लांबीचे दोन चॉपस्टिक देखील काढले गेले होते. वाचा- COVID19: 30 सेकंद हा Mouthwash वापरा आणि कोरोनाला गुडबाय करा!

)







