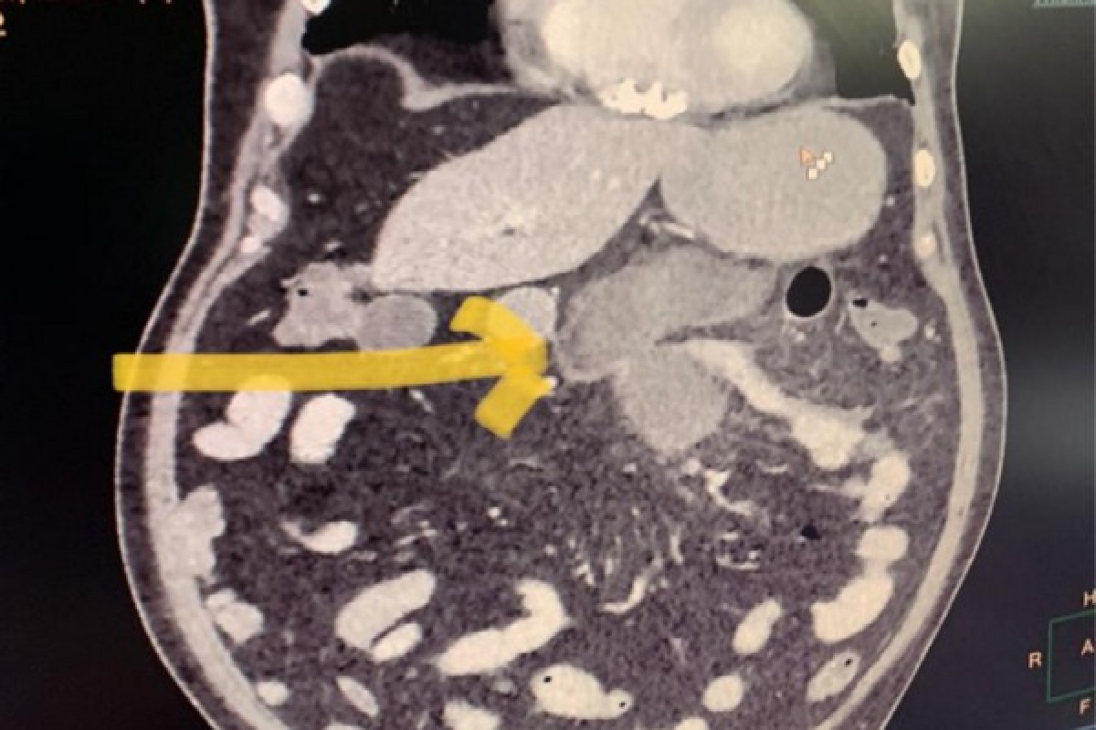
नवी दिल्ली, 22 मे: देश एकीकडे कोरोनासारख्या महामारीचा सामना करत आहेत. तर दुसरीकडे आता म्युकरमायकोसिस (Mucormycosis ) म्हणजेच ब्लॅक फंगस हे नवं संकट उभं ठाकलं आहे. ब्लॅक फंगस **(Black Fungus)**च्या रुग्णांचा आकडा आता दिवसेंदिवस वाढत चालला आहे. दरम्यान आताच समोर आलेल्या माहितीनुसार, दिल्लीतल्या सर गंगा राम रुग्णालयात छोट्या आतड्यां (Small Intestine) ना ब्लॅक फंगस झाल्याची घटना आढळून आली आहे. दिल्लीचे रहिवासी असलेले 56 वर्षीय कुमार यांनी कोरोनामुळे आपली पत्नी आणि कुटुंबियातल्या दोन सदस्यांना गमावलं. कुमार यांनी आपल्या पत्नीसोबत कोरोनाची चाचणी केली होती. तसंच त्यांना कोविड-19 सौम्य लक्षणंही जाणवत होती. त्यांची चाचणी पॉझिटीव्ह आली. पत्नी मृत्यू झाल्यानंतर एक दिवस कुमार यांच्या अचानक ओटीपोटात दुखू लागलं. या पोटदुखीकडे त्यांनी दुर्लक्ष केलं. अॅसिटीडी किंवा तणावामुळे दुखत असेल म्हणून त्यांनी अॅसिटीडीची औषध घेतली. त्यामुळे तीन दिवस उपचारास उशीर झाला आणि त्यांना ब्लॅक फंगसची लागण झाल्याची बाब समोर आली. तीन दिवसानंतर त्यांना सर गंगा राम रुग्णालयातील (Sir Ganga Ram Hospital) कोविड-19 च्या इमरजन्सी वॉर्डमध्ये दाखल करण्यात आलं आहे. रुग्णालयात दाखल केल्यानंतर त्यांच्या पोटाचा सीटी स्कॅन करण्यात आला. त्यावेळी रिपोर्टमध्ये त्यांच्या पोटातील छोट्या आतड्यांना (jejunum) छिद्र असल्याचं उघड झालं. त्यांना कोरोना देखील असल्यानं व्हेंटिलेटरची गरज लागणार असल्याचं डॉक्टर सांगतायत. हेही वाचा- लॉकडाऊन संपायला अवघे शेवटचे 9 दिवस, काय होणार 1 जूननंतर? सर गंगा राम रुग्णालयातील सर्जिकल गॅस्ट्रोएन्टेरोलॉजी आणि यकृत प्रत्यारोपण विभागातील वरिष्ठ सल्लागार डॉ. उषास्ट धीर म्हणाले की, रूग्णाला जेझुनम (लहान आतड्याच्या ड्युओडीनम ते इलियमपर्यंतचा जवळ जवळ 2.4 मीटर लांब भाग) मध्ये त्रास जाणवू लागला होता. त्यावेळी आम्हाला रुग्णाला ब्लॅक फंगसची लागण झाल्याचा संशय आला आणि आम्ही तात्काळ त्यावर उपचार सुरु केले. सध्या आम्ही बायोप्सीसाठी काढून टाकलेल्या आतड्यांचा भाग पाठवला आहे. तर दुसरी अशीच घटना घडली आहे. 68 वर्षीय इजाज यांनी कोविडवर मात केली. वडील कोविडमधून बरे झाले म्हणून संपूर्ण कुटुंब आनंदात होते. मात्र हा आनंद जास्त काळ टिकू शकला नाही. कारण लगेगच त्यांच्या ओटीपोटात दुखू लागलं. इजाज यांना डायबिटिस होता आणि त्यांना कोविडच्या उपचारासाठी स्टिरॉइड्स मिळालं होतं. मात्र या रुग्णाला ताप नव्हता आणि वेदनाही फार सौम्य होत्या. इतकंच काय तर, त्यांनी केलेल्या क्लिनिकल तपासणीमध्ये त्यांच्या आतड्यांमध्ये छिद्र असल्याचं निष्पन्न झालं नाही. मात्र त्यानंतर केलेल्या सीटी स्कॅनमध्ये त्यांच्या आतड्याला छिद्र असल्याचं उघड झालं. हेही वाचा- काय सांगता, कोरोनाच्या रुग्ण वाढीसाठी ‘हा’ महिना ठरला सर्वात घातक बायोप्सीनं या दोन्ही रुग्णांच्या छोट्या आतड्यांना ब्लॅक फंगसची लागण झाल्याच्या घटनेला दुजोरा दिला. हे दोन्ही रुग्ण कोविड पॉझिटीव्ह होते आणि त्यांना डायबिटिस देखील होते. मात्र त्यात फक्त एकाला स्टिरॉइड्स मिळाला होता. जीआय म्युकरमायकोसिस हा दुर्मिळ आहे आणि त्यावेळी रुग्णाच्या ओटीपोटात त्याची लक्षणं आढळून येतात, असं डॉक्टरांनी सांगितलं आहे.
मराठी बातम्या, ब्रेकिंग न्यूज मराठीत सर्वात आधी News18 लोकमतवर. आजच्या ताज्या बातम्या, लाइव्ह न्यूज अपडेट, सर्वात आधी वाचा विश्वासार्ह मराठी न्यूज वेबसाइट News18 लोकमतवर.

)







