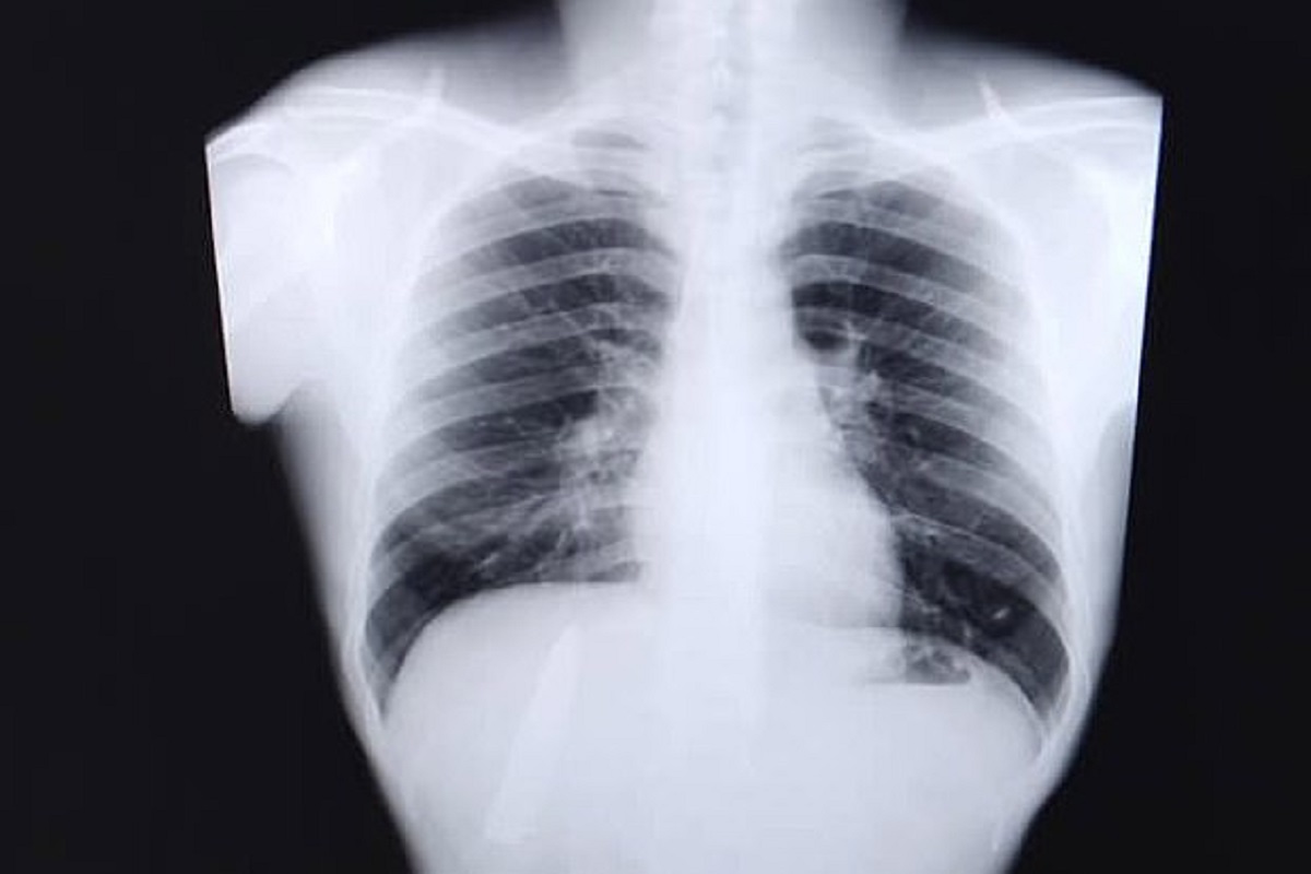
मनिला, 27 मार्च : फिलिपाइन्समध्ये (Phillipines) राहणारा 25 वर्षांचा केन्ट रेयान तोमाओन नव्या नोकरीसाठी अर्ज केला होता. या नोकरीसाठी काही वैद्यकीय रिपोर्ट हवे होते. नोकरीच्या अटीनुसार केन्ट आपली चाचणी करायला गेला. त्याने छातीचा एक्स-रे (x-ray) काढला. एक्स-रे रिपोर्ट पाहून त्याला मोठा धक्काच बसला. केन्टच्या छातीत चक्क चाकू (Knife Blade in chest) होता. 15 महिन्यांपूर्वी म्हणजे गेल्यावर्षी जानेवारीत केन्टवर चाकू हल्ला झाला होता. किदापवनमध्ये त्याच्यावर हल्ला करण्यात आला होता. तेव्हा तो गंभीर जखमी झाला होता. त्याला सार्वजनिक रुग्णालयात दाखल करण्यात आलं. डॉक्टरांनी त्याच्यावर उपचार केले. पण यानंतर केन्टला थंड वातावरणात छातीत दुखायचं. याचं कारण त्याला माहिती नव्हतं. किरकोळ वेदना असतील म्हणून त्यानेही त्याकडे फारसं लक्ष दिलं नाही. पण नव्या नोकरीसाठी म्हणून त्याने एक्स-रे काढला आणि त्याला धक्का बसला. त्याच्या छातीतील वेदनेचं नेमकं कारण समजलं. हे वाचा -
Shocking Video! एक्सरसाइज करताना फाटले मसल; बॉडी बिल्डरची झाली भयंकर अवस्था
केन्टच्या छातीत चक्क चाकू होता. हा तोच चाकू आहे, ज्याने पंधरा महिन्यांपूर्वी केन्टवर हल्ला करण्यात आला होता. हा चाकू केन्टच्या शरीरात तसाच राहिला होता आणि त्यामुळेच त्याला त्रास होत होता. डॉक्टरांनी त्यावेळी जेव्हा केन्टवर उपचार केले तेव्हा त्यांनी फक्त त्याच्या जखमांना स्टिचेस घातले. त्याचा एक्स-रे काढला नव्हता. ‘माझ्या छातीत नेहमी वेदना होत होत्या. जेव्हा थंडी होती तेव्हा या वेदना तीव्र व्हायच्या पण माझ्या छातीत चाकू होता हे मला माहितीच नव्हतं’, असं तोमाओने स्थानिक मीडियाशी बोलताना सांगितलं. हे वाचा -
दगड समजून चक्क मगरीवरून चालली कोंबडी; तोंडाजवळ येताच… VIDEO पाहून तुम्ही उडाल
डेली मेल
च्या रिपोर्टनुसार ABS-CBN News शी बोलताना त्याने सांगितलं, ‘डॉक्टरांनी जखम शिवली पण ती इतकी गंभीर नाही’ असं त्यांनी सांगितलं. तोमाओ आता त्याच रुग्णालयात पुन्हा जाणार आहे आणि तिथं जाऊन आपल्या छातीतील चाकू काढून घेणार आहे. शिवाय संबंधित रुग्णालय आणि डॉक्टरांविरोधात आपण काही कायदेशीर कारवाई करणार नसल्याचंसुद्धा त्याने स्पष्ट केलं आहे.
मराठी बातम्या, ब्रेकिंग न्यूज मराठीत सर्वात आधी News18 लोकमतवर. आजच्या ताज्या बातम्या, लाइव्ह न्यूज अपडेट, सर्वात आधी वाचा विश्वासार्ह मराठी न्यूज वेबसाइट News18 लोकमतवर.

)







