
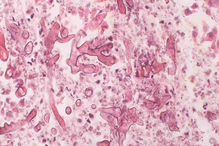
फेसबुकवर व्हायरल एका पोस्टमध्ये दावा करण्यात येत आहे की, 'कांद्यातून काळी बुरशी परसण्याचा धोका असतो. कांदे खरेदी केल्यानंतर त्यावर एक काळ्या रंगाचा लेअर असतो. तो ब्लॅक फंगस असून रेफ्रिजरेटरच्या आत रबरावर दिसणारे काळे घटकदेखील ब्लॅक फंगस आहे, जर लक्ष दिलं नाही तर ही काळी बुरशी फ्रीजमधील अन्नपदार्थांच्या माध्यमातून शरीरात प्रवेश करू शकते.'

जेव्हा या दाव्याचा शोध घेतला तेव्हा वेगळीच माहिती समोर आली. रेफ्रिजरेटरच्या आतील फंगस आणि कांद्यावरील काळा लेअर असलेला फंगस, म्युकर मायकोसिसच्या कारणामुळे तयार होणाऱ्या फंगसहून वेगळा आहे. यानुसार फेसबुकवर केला जाणारा दावा, चुकीचा आहे. लोकांच्या मनात भीती निर्माण करण्यासाठी अशा प्रकारचा मेसेज फॉरवर्ड केला जात असल्याचं सांगितलं जात आहे.

एम्सचे डायरेक्टर डॉ. रणदीप गुलेरिया (Randeep Gularia) यांनी सांगितलं की, फंगसचा संसर्ग रोखण्यासाठी आक्रमक पद्धतीने काम करण्याची गरज आहे. त्यांनी सांगितलं की, कोविड-19 ची रुग्णसंख्या कमी होत असून फंगस इन्फेक्शनच्या संख्येतही घट होईल.

'ब्लॅक फंगस' या शब्दाच्या उत्पत्तीबाबत डॉ. गुलेरिया यांनी सांगितलं की, लक्षात ठेवण्यासारखी सर्वात महत्त्वपूर्ण बाब म्हणजे, म्युकर मायकोसिस ब्लॅक फंगस नाही. हे चुकीचं नाव आहे. खरं तर रक्तप्रवाह कमी झाल्यामुळे त्वचेचा रंग पुसट होतो. अशावेळी तो भागा काळा झाल्यासारखं वाटतं. त्यामुळे याला ब्लॅक फंगस असं नाव देण्यात आलं.

देशभरात आतापर्यंत ब्लॅक फंगसचे 11,717 रुग्णसंख्या आहे. ही संख्या जलद गतीने वाढत आहे. तर सोशल मीडियावर व्हायरल होत असलेल्या या दाव्यामुळे लोकांच्या मनात भीती निर्माण झाली आहे. यासाठी सर्वांनी खोट्या माहितीवर विश्वास ठेवू नये, आणि काही त्रास होत असल्यास तातडीने डॉक्टरांचा सल्ला घ्यावा.




