
बऱ्याच लोकांना सतत आपले ओठ चावण्याची सवय असते पण, कधीकधी ही सवय एखाद्या गंभीर आजाराचं लक्षण असू शकते. तज्ञांच्यामते हा एखाद्या आजाराचा इशाराही असू शकतो.

अमेरिकन टूथपेस्ट ब्रॅन्ड कोलगेट मधील तज्ञांच्यामते, ओठ चावण्याच्या सवय असेल तर 5 गोष्टी कारणीभूत असू शकतात.

अर्थरायटिस हा टॅम्पोरॉमेडिबुलर ज्वॉइंग (TMJ) डिसऑर्डरच लक्षण आहे. त्यामुळे या लक्षणाकडे दुर्लक्ष करु नये. संधिवाताचा त्रास असणाऱ्या लोकांना ओठ चावण्याची सवय लागते.

संधिवातात जबड्याचा आकार बदलतो. तोंडाला सूज येऊन, तोंड उघडायला ही त्रास होतो. तज्ज्ञांच्यामते वेदना, डोकेदुखी, दातदुखी असे त्रास देखील व्हायला लागतात.

दात चावण्याची सवय सुद्धा त्रासदायक असते. स्ट्रेसमुळेही दात चावण्याची सवय लागते. असे लोक रात्रीच्या वेळी जास्त दात चावतात पण, यामुळे ओठांवर जखम होऊन फेशियल पेन किंवा डोकेदुखी होऊ शकते.

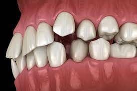
वाकडेतिकडे दात असतील तर, दात चावायची सवय लागते. ज्यांचे वरचे आणि खालचे दात व्यवस्थित रांगेमध्ये नसतात त्यांना ही सवय असू शकते. कादाचित ही मोठी समस्या नसली तरी, त्रास वाढण्याआधी वेळेस त्यावर उपचार करावेत.

एन्जायटी किंवा डिप्रेशन सारख्या मानसिक त्रासामुळे देखील लोकांना ओठ चावायची सवय लागू शकते. रिपीटेटिव बिहेवियर हा एक मानसिक आजार आहे ज्यामध्ये ओठ चावण्याची सवय लागते.

तज्ञांच्या मते ओठ चावणे म्हणजे मोठा आजार नसला तरी सतत ओठांवर जखमा होत असतील किंवा त्वचेवर खरचटतं असेल तर, यामुळे त्रास वाढू शकतो.

तज्ज्ञांच्यामते लहान मुलांमध्ये ही सवय असेल तर, तात्काळ डॉक्टरांचा सल्ला घ्यावा. लहान मुलांमध्ये अशी सवय विविध कारणांमुळे असू शकते. त्यामुळे डॉक्टरांच्या सल्ल्याने उपचार करणं आवश्यक असतं.

TMJ सारखा त्रास असेल तर, डॉक्टर माउथ मसाज किंवा आहारामध्ये काही बदल करण्याचा सल्ला देतात. याशिवाय काही घरगुती उपचार फायदेशीर असतात. शिवाय औषधोपचाराने हा त्रास बरा होऊ शकतो.




