JOIN US
मराठी बातम्या / Viral / खोकता खोकता महिलेची 4 हाडचं मोडली; कारण वाचून धक्काच बसेल!

खोकता खोकता महिलेची 4 हाडचं मोडली; कारण वाचून धक्काच बसेल!

हा प्रकार कळल्यानंतर सर्वजण चकित झाले आहेत.

जाहिरात
जाहिरात
News18 लोकमत व्हॉट्सअ‍ॅप चॅनलला फॉलो करा

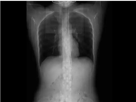
नवी दिल्ली, 21 डिसेंबर : एखादा मोठा अपघात झाला किंवा हाणामारीमध्ये मार लागल्याने बरगड्या मोडल्याचं तुम्ही अनेकदा ऐकलं असेल. परंतु, चीनमधल्या एका महिलेच्या बरगड्या मोडल्याचं कारण ऐकलंत तर तुम्हाला आश्चर्य वाटेल. तिखट खाल्ल्याने खोकला लागल्यामुळे या महिलेच्या चार बरगड्या मोडल्या आहेत. डॉक्टरांच्या म्हणण्यानुसार, त्या महिलेचं वजन कमी असल्यानं खोकताना बरगड्यांना स्नायूंचा आधार मिळाला नाही आणि त्या तुटल्या. हा प्रकार कळल्यानंतर सर्वजण चकित झाले आहेत. एरव्ही सर्दी, ताप, डोकेदुखी, खोकला हे आजार सर्वसामान्य मानले जातात. खोकला लागल्यानंतर अनेक दिवस तो कमी होत नाही. परंतु, त्यावर योग्य उपचार घेतल्यानंतर तो बंद होतो, असा अनुभव अनेकांना आला असेल; पण खोकताना बरगड्या तुटण्याचा हा प्रकार कधी ऐकण्यातही आला नसेल. चीनमधल्या शांघायमध्ये घडलेल्या या घटनेमुळे सर्वांनाच आश्चर्य वाटलं आहे. शांघायमधली हुआंग नावाची महिला जेवत होती. तिखट खाल्ल्यामुळे तिला अचानक खोकला आला. खोकताना बरगड्यांवर ताण पडला आणि काही तरी मोडल्याचा आवाज आला. सुरुवातीला त्या महिलेने याकडे लक्ष दिलं नाही; पण नंतर महिलेच्या छातीत दुखू लागले. डॉक्टरांकडे गेल्यानंतर त्यांनी सिटी स्कॅन करण्यास सांगितलं. त्यात महिलेच्या चार बरगड्या तुटल्याचं दिसून आलं. मॅचदरम्यान नवऱ्यानं बायकोसाठी केली अशी गोष्ट; पाहून तुम्ही म्हणाल, हा तर Husband of the year एक महिना आराम करण्याचा सल्ला हुआंग आडनावाची ही महिला शांघायची रहिवासी आहे. जेवताना तिला अचानक खोकला आला. तो इतका वाढला, की खोकताना छातीतून काही तरी तडकल्यासारखा आवाज आल्याचं जाणवलं. नंतर श्वास घेत असताना त्रास वाढल्याचं लक्षात आलं. म्हणून ती महिला डॉक्टरांकडे गेली. त्यांनी सिटी स्कॅन केल्यानंतर सर्व बाबी उघड झाल्या. बरगड्या योग्य पद्धतीने जोडल्या जाव्यात यासाठी डॉक्टरांनी महिलेच्या छातीला बँडेज केले आहे. किमान महिनाभर आराम करण्याचा सल्ला दिला आहे. वजन कमी असल्यानं तुटल्या बरगड्या खोकताना एखाद्या व्यक्तीच्या बरगड्या तुटू शकतात, असा प्रकार क्वचितच पाहायला मिळतो. डॉक्टरांच्या मते, हुआंग यांच्या शरीराचे वजन कमी असल्या कारणाने हा प्रकार घडला असावा. हुआंग यांची उंची 171 सेंटीमीटर, तर वजन 57 किलो आहे. साउथ चायना मॉर्निंग पोस्टच्या रिपोर्टमध्ये दिलेल्या माहितीनुसार, डॉक्टरांनी या घटनेबद्दल काही महत्त्वाची निरीक्षणं नोंदवली आहेत. महिला शरीराचा वरील भाग सडपातळ आहे. त्यामुळे त्वचेच्या आत असलेल्या बरगड्या स्पष्ट दिसतात. हाडांना स्नायूचा आधार मिळत नसल्यानं खोकताना बरगड्या सहज तुटू शकतात. याचं गांभीर्य लक्षात घेऊन महिलेनंही शरीर सुदृढ करण्यासाठी विविध व्यायाम करण्यासह आहारावर लक्ष देणार असल्याचं डॉक्टरांना सांगितलं आहे.

मराठी बातम्या, ब्रेकिंग न्यूज मराठीत सर्वात आधी News18 लोकमतवर. आजच्या ताज्या बातम्या, लाइव्ह न्यूज अपडेट, सर्वात आधी वाचा विश्वासार्ह मराठी न्यूज वेबसाइट News18 लोकमतवर.

फोटो

महत्वाच्या बातम्या